Ultrasonido 2do Trimestre 18-23 Semanas (Estructural o Anatómico)

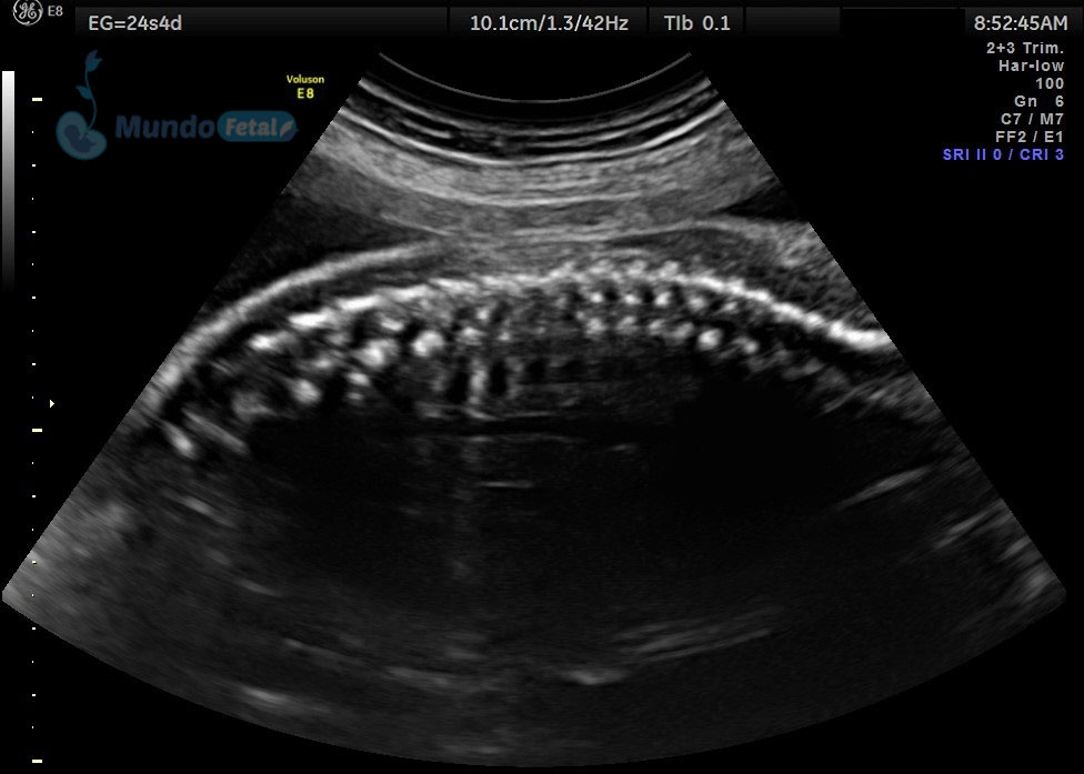
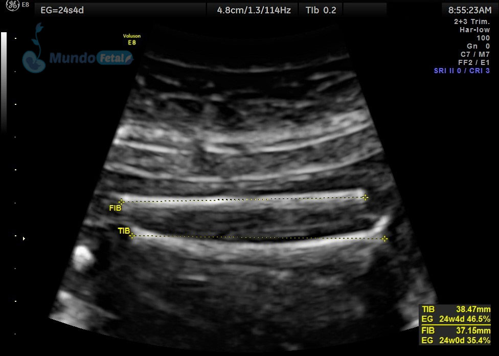
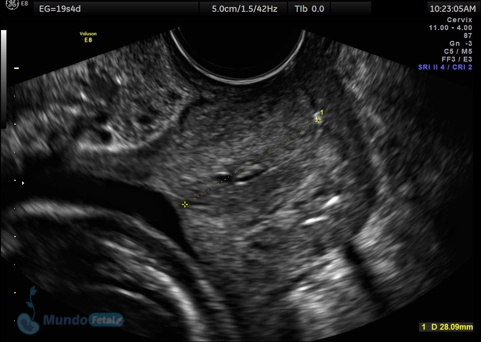
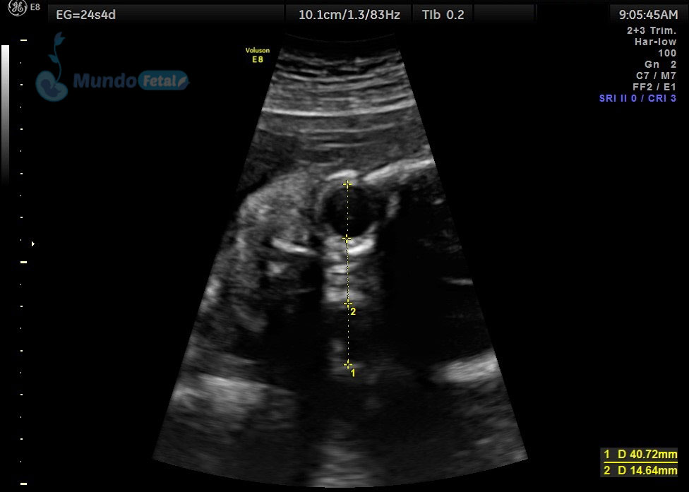
Entre las 18 y 22 semanas, el feto ha desarrollado la mayoría de sus estructuras anatómicas, permitiéndonos valorar de manera detallada todos los órganos del bebe, descartando anomalías anatómicas fetales y datos de cromosomopatías. Prediciendo además preeclampsia (Doppler de arterias uterinas) y parto prematuro (por medio de la medición de la longitud del cérvix). En manos expertas, la detección de anomalías anatómicas supera el 80%.

ANATOMICO-ORBITAS
ANATOMICO-VEJIGA
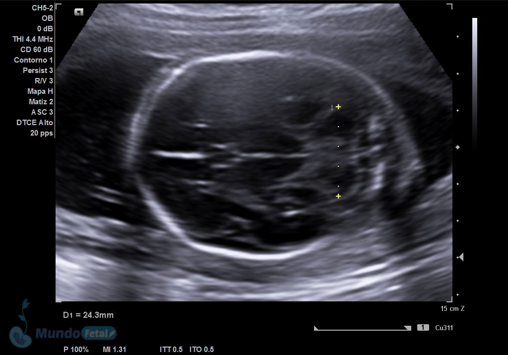
LONGITUD-CERVICAL1

Beneficios

  • Valorar el bienestar del bebe.
  • Descartar o confirmar oportunamente riesgos y anomalías fetales propias de su edad, sugerentes de vigilancia y estudios complementarios.
  • Tratamiento oportuno
  • Evitar complicaciones

Recomendación:

Realizarse en todas las pacientes, esencialmente en quienes no se realizaron el ultrasonido tamizaje de primer trimestre.